皇冠信用网_河南一老人做冠脉造影手术时一截导丝断在血管中!院方回应
信用网皇冠申请注册(输入9990088.com)皇冠_官方信用网线上直营平台,皇冠体育代理帐号申请、信用网会员注册近日,来自河南汝州的高女士反映称,她的父亲在河南省胸科医院做冠脉造影手术时,手术所用导丝末端断裂,一截导丝被遗留在血管中皇冠信用网。“父亲原本就有血栓,担心随着父亲年龄增长,病情会加剧。”
9月30日,涉事医院医患办公室工作人员告诉南都N视频记者,术后院方组织了相关科室会诊,判断回旋支指引导丝远段断裂,与患者回旋支弥漫性动脉硬化重度狭窄病变及钙化有关皇冠信用网。如果患者需要做医疗事故鉴定,院方将全力配合。目前仍在与该病人家属进行协商。

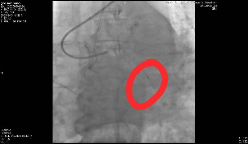
断裂的导丝皇冠信用网。受访者供图
病人家属:担心遗留导丝会加剧病情
高女士向南都记者介绍,其父亲今年62岁,去年因冠心病在河南省胸科医院做过支架植入手术皇冠信用网。今年9月2日,因感到胸闷,其父亲再次到该医院复查。
9月5日,高女士父亲在该医院做冠脉造影,手术进行了近3个小时皇冠信用网。高女士回忆说,手术结束后,负责手术的医生告诉她,“在微创探查体内的时候,一截导丝断裂。”当高女士询问能否再次实施手术取出时,医生表示因病患年纪较大,开胸手术存在危险,并没有取出的必要。但对于遗留导丝会否在后续造成长期影响,该医生则称“无法确定”。
高女士提供的病程记录显示,“手术操作过程中出现回撤导丝困难,送入微导管尝试至坎顿处未成功,退出微导管时远段导丝断裂,多途径尝试取出断裂导丝均未能成功皇冠信用网。”资料还指出,“通过复查造影,回旋支近段残余狭窄小于30%,未见明显夹层、无复流。”
南都记者留意到,该病程记录给出了心血管外科一病区会诊意见,称“回旋支内见离断的介入导丝,外科取出导丝意义不大,建议内科治疗”皇冠信用网。
高女士认为,父亲原本就有血栓,按照医院的说法,他的血管狭窄、钙化严重,其担心随着父亲年龄增长,情况会加剧皇冠信用网。她表示,目前有两个诉求,一是希望医院能给予一定金额的赔偿;二是由医院对接能做开胸手术的医院,必要情况下协助垫付一定费用。
涉事院方:可配合做相关医疗鉴定
9月30日,南都记者联系涉事医院医患办咨询,接线人员表示,目前已了解高女士的诉求,正积极与高女士进行协商皇冠信用网。
该名接线人员表示,该患者入院后,诊断冠心病、急性冠脉综合征,手术指征明确皇冠信用网。“术前已与患者及家属沟通病情,告知其冠脉造影及冠脉支架植入术的必要性及相关风险。”
这一说法可以在高女士提供的病程记录中得到印证皇冠信用网。相关记录显示,9月4日,手术医师进行查房,随后与患者及家属沟通病情,告知其冠脉造影及冠脉支架植入术的必要性及相关风险,其中提及,术后可能出现支架再狭窄或支架内血栓形成,可造成相关脏器急性缺血坏死或功能障碍,危及生命,以及导丝、导管、鞘管等术中所用材料断裂、打折等,必要时需要外科手术治疗。
该医患办工作人员向南都记者解释称,术后院方组织了相关科室会诊,判断回旋支指引导丝远段断裂,与患者回旋支弥漫性动脉硬化重度狭窄病变及钙化有关皇冠信用网。“如果患者需要做医疗事故鉴定,院方将全力配合。如果对方经济困难,医院愿意垫付费用做鉴定。”其还表示,医院将根据第三方相关鉴定,承担院方该承担的责任。
南都记者了解到,当前高女士向医院提出30万的索赔,院方认为索赔数目太高,建议走司法程序进行司法鉴定,以此明确医院的过错及比例,如果家属对血管里的导丝感到担心,医院可先补偿8000元皇冠信用网。
高女士表示,当前她已将诉求反映至省卫健委有关部门,正在进一步等候处理中皇冠信用网。
采写:南都N视频记者 林诗妍
猜你喜欢
- 2025-10-28世界杯信用网正网 _荷兰分析人士:安世半导体事件表明,欧洲夹在中美之间无能为力
- 2025-10-27世界杯信用网会员账号 _荷兰欧盟轮番上阵,苦口婆心劝了2小时,中方态度早已明确,给欧洲提了个醒,敢玩火后果自负!
- 2025-10-27世界杯信用盘会员开户 _27岁女子被介绍50岁对象,别只盯着相亲者的“择偶标准”
- 2025-10-27世界杯信用网最新地址 _皇马2-1巴萨,全场评分出炉:不是姆巴佩高居第一,亚马尔低迷获及格引争议
- 2025-10-26世界杯网址 _王俊杰23分刷新NCAA个人得分新高 赵维伦替补0得分
- 2025-10-26怎么注册世界杯信用盘 _蜂王与狼王!赛后曼联两大新援姆伯莫和库尼亚紧紧拥抱庆祝胜利
- 2025-10-25世界杯信用网登3代理 _歌手郑智化发文吐槽“深圳机场没人性”,机场客服回应
- 2025-10-25世界杯信用网代理 _长春亚泰2:0战胜津门虎!保级形势急转直下,乌龙与失误成关键
- 2025-10-19皇冠信用網登3代理 _独家采访丨陈震首次还原撞车事件
- 2025-10-18皇冠信用网怎么租 _山西通报:副市长李润军,非法收受巨额财物
- 2025-10-18体育皇冠信用盘 _一男子身穿制服自称“省厅领导”,走进派出所“指导工作”,警方:搜查到假警服,行政拘留!
- 2025-10-18皇冠信用网会员 _55岁西安交大教授携妻创业,冲刺IPO,估值超26亿元!两年半亏了4亿元,尚无产品上市,公司现金储备仅剩1.07亿元


网友评论